Medios Técnicos

En AVN Dental, tu clínica Moderna, Funcional y de Confianza con gabinetes equipados con la última tecnología de vanguardia, tratamientos innovadores y materiales de alta calidad para la realización de los mejores tratamientos.

Cirugía guiada por ordenador con guías quirúrgicas

Cirugía guiada por ordenador con guías quirúrgicas.

La clínica dispone de un TAC que junto a un software permite al odontólogo la planificación de la cirugía y la elaboración de una guía. Con esta guía, es posible realizar la colocación del implante sin necesidad de abrir ni dar puntos, por lo que el postoperatorio es sencillo y sin complicaciones.

CAD-Cam

La clínica posee el sistema CAD-Cam para el diseño y realización de coronas al momento. Este sistema hace posible la colocación de la corona a los minutos de tomar la medida, sin necesidad de esperar semanas o días.

CAD-Cam
Escáner intraoral 3D Prime Scan Sistema Cerec

Escáner intraoral 3D Prime Scan Sistema Cerec

En la clínica dental del Dr. Antonio Vicente Nicolás, utilizamos el escáner de última generación CEREC. Este escáner intraoral permite crear un archivo digital en 3D de la boca del paciente, permitiendo generar un trabajo más preciso, de máxima calidad y mucho más rápido.

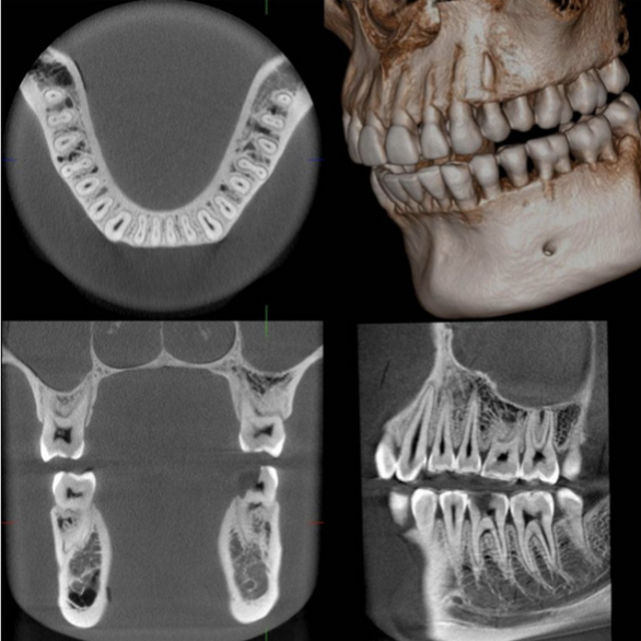
TAC FOV-16X18 y radiografía ultima generación

Una radiografía tridimensional que se toma de la boca del paciente. A partir de ella se crea una imagen virtual en tres dimensiones con las características exactas de su cavidad oral. De esta forma se facilita el diagnóstico, que además es mucho más preciso que con otras técnicas más tradicionales.

TAC FOV-16X18 y radiografía ultima generación

Financiación a medida

Te ofrecemos financiación a medida, nos adaptamos a tu tratamiento y necesidades.

Contacto arrow-right
Logo AVN Dental
AVN Contacto

Utilizamos cookies propias y de terceros para obtener datos estadísticos de la navegación de nuestros usuarios y mejorar nuestros servicios.